Инородные тела в организме человека.
Под инородными телами понимают чужеродные для организма предметы, внедрившиеся в его ткани, органы или полости через поврежденные покровы или через естественные отверстия.
На практике часто используются рабочие классификации, согласно которым инородные тела в организме человека подразделяются по следующим категориям.
По локализации
- инородные тела верхних дыхательных путей;
- инородные тела легких и плевральной полости;
- инородные тела диафрагмы;
- инородные тела пищевода;
- 5. инородные тела перикарда;
- 6. инородные тела желудка, тонкой кишки, толстой и прямой кишки;
- 7. инородные тела брюшной полости;
- 8. инородные тела мочевого пузыря;
- 9. инородные тела матки и влагалища;
- 10. инородные тела мягких тканей.
По характеру и происхождению
Истинные/безусловно инородные тела
- Введённые в организм человека умышленно, случайно (проглоченные инородные тела, или попавшие в верхние дыхательные пути).
- ИТ, введённые в просвет желудочно-кишечного тракта, мочеполовую систему восходящим путём (через задний проход, уретру, влагалище).
- ИТ введённые, оставленные в организме сознательно или забытые при эндоскопических, оперативных и иных диагностических, лечебных вмешательствах.
- ИТ, попавшие в организм травматическим путем.
Условно инородные тела
- Вклиненный пищевой комок.
- ИТ, образовавшиеся в организме:
- желчные камни;
- желудочные и кишечные безоары;
- каловые камни;
- камни в ЧЛС, мочеточниках, мочевом пузыре.
- Живые инородные тела, в том числе конгломераты паразитов.
По степени рентгенконтрастности
- рентгенпозитивные (металлические предметы, крупные мясные кости, конкременты);
- рентгеннегаивные и малоконтрастные (пищевой комок, конгломераты паразитов, дерево, пластик, стекло, стекло, рыбьи и куриные кости).
По количеству
- единичные;
- множественные.
По динамике
- мигрирующие;
- свободнолежащие;
- фиксированные.
По величине
- мелкие - до 2 – 2,5 см в диаметре или до 5 см в длину;
- средние - от 2,5 до 5 см в диаметре или до 10 см в длину;
- крупные – более 5 см в диаметре или более 10 см в длину.
По патологическому воздействию на организм
- Инертные инородные тела – не оказывающие выраженного патологического воздействия на организм и стенку органа (монеты, мелкие игрушки, клипсы, стеклянные и металлические шарики.
- Потенциально агрессивные инородные тела
- Контейнеры с наркотиками и другими токсичными веществами.
- Хрупкие предметы (например, из тонкого стекла).
- Агрессивные инородные тела
- Химически активные инородные тела, вызывающие химические и термические ожоги вплоть до образования перфорации стенки органа (батарейки).
- Физически активные инородные тела, оказывающие выраженное физическое, компрессионное воздействие на стенку органа (магниты; ртуть).
- Механически активные (остроконечные) инородные тела, оказывающие повреждающее механическое действие на стенку органа (иголки, булавки, саморезы, пружины, проволока).
- Инородные тела с комбинированным воздействием, оказывающие механическое (закупорка, компрессия) и химическое воздействие на организм и стенку органа (безоары, силикагелевые шарики).
Особая категория инородных тел в организме человекам – это инородные тела, оставленные в результате хирургических вмешательств. Это относительно редкое осложнение. До 50% всех инородных тел составляют забытые хирургические тампоны, марлевые салфетки дренажные трубки, фрагменты катетеров, хирургические инструменты. Чаще всего инородные тела остаются после полостных операций, реже – после лапароскопических, эндоскопических, чрескожных. Наиболее распространенными локализациями ИТ являются брюшная полость, полость таза, также описаны случаи их нахождения в грудной, плевральной, перикардиальной полостях, забрюшинном пространстве, полости черепа, мягких тканях.
Оставлению расходных хирургических материалов в организме способствуют следующие факторы:
1.Факторы Связанные с особенностями операции. это экстренные хирургические вмешательства, необходимость изменения хода операции (например, конверсия доступа), симультанные операции с участием нескольких хирургических бригад; операции осложненные массивным кровотечением, повреждением соседних органов, асистолией, шоком.
2.Факторы Связанные с медицинским персоналом. Это недостаточная квалификация оперирующего хирурга, неопытность ассистентов, невнимательность операционной медицинской сестры, в обязанности которой входит учет израсходованного операционного материала. Также имеют играют роль такие факторы, как переутомление, халатность, невнимательность, отвлекаемость членов операционной бригады.
3.Факторы Связанные с пациентом. высокий ИМТ, более глубокой полостью таза (у женщин). Особенности заболевания: например новообразования больших размеров, спаечный процесс, вызванный предыдущими хирургическими вмешательствами.
Сложности диагностики вызывают текстильные инородные тела - так называемые госсипибомы.
Госсипибома – это инородное тело тканевого происхождения, случайно оставленное в операционной ране: грудной, брюшной полости, малом тазу, забрюшинной клетчатке, мягких тканях и др. Клиническая картина зависит от расположения инородного объекта и вызванных им осложнений.
Более 50% госсипибом приходится на абдоминальные хирургические вмешательства, свыше 20% ⎼ на гинекологические, менее 10% ⎼ на кардиоваскулярные, урологические, ортопедические и нейрохирургические операции.
Спектр непреднамеренно оставленных в теле оперированного пациента текстильных предметов включает марлевые салфетки, ватные палочки, тампоны, полотенца, гемостатические губки.
Симптомы госсипибомы
Клиническая картина варьируется от бессимптомных случаев до осложнений с летальным исходом. От момента операции до развития симптоматики может пройти от нескольких суток до нескольких лет.
В ближайшем послеоперационном периоде (несколько часов-3-5 суток) отмечается длительное заживление шва, серозное или гнойное отделяемое из раны, долго сохраняющийся лейкоцитоз, длительно сохраняющийся парез кишечника
В раннем постоперационном периоде (2-3 недели) пациенты жалуются на усиление болей в области операционной раны, повышение температуры тела, слабость.
В отдалённом постоперационном периоде (от 3 недель) – определяется пальпируемое подвижное образование при затухании воспалительного процесса, длительный (месяцы) субфебрилитет, зловонное отделяемое из свищевого хода.
Патогенез
Госсипибомы вызывают в тканях два типа реакций: асептическую и экссудативную.
Экссудативная реакция возникает на ранних стадиях постоперационного периода и сопровождается локальным воспалением. В случае вторичной бактериальной контаминации развиваются гнойные осложнения (абсцессы, свищи, сепсис). Асептическая госсипибома не вызывает никаких клинических проявлений и чаще обнаруживается как случайная находка, иногда через много лет после операции. При микроскопическом исследовании обнаруживаются лимфоциты и пенистые гистиоциты, окружённые грануляционной тканью. В отдалённом постоперационном периоде вокруг госсипибомы обнаруживается рубцовая ткань, а позже и фиброзная капсула.
Диагностика инородных тел
Для диагностики инородного тела крайне важным является сбор анамнеза, сведения о предшествующей хирургической операции. При подозрении на наличие ИТ Обследование назначается врачом хирургом соответствующего профиля.
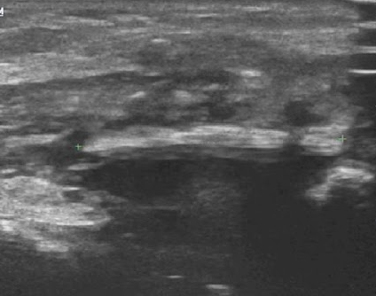
Диагностика рентгенпозитивных инородных тел успешно проводится с помощью традиционной рентгенографии и ультразвукового исследования (УЗИ) .




Рентген -диагностика.
Выявляется:
- дополнительная тень в зоне интереса;
- свободный газ в брюшной полости при перфорации полого органа;
- гипераэрированные петли кишечника с горизонтальными уровнями содержимого при развитии кишечной непроходимости.
УЗИ.
Метод высоко чувствителен в т.ч для выявления рентгеннегативных инородных тел. Характерно наличие вблизи них свободной жидкости или осумкованных жидкостных скоплений, инфильтрации окружающих тканей. Доплерография выявляет отсутствие кровотока внутри выявленного инородного тела. Но трудности метода УЗИ в выявлнии глубоко расположенных инородных тел и расположенных позади газосодержащих полых органов.
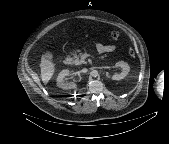
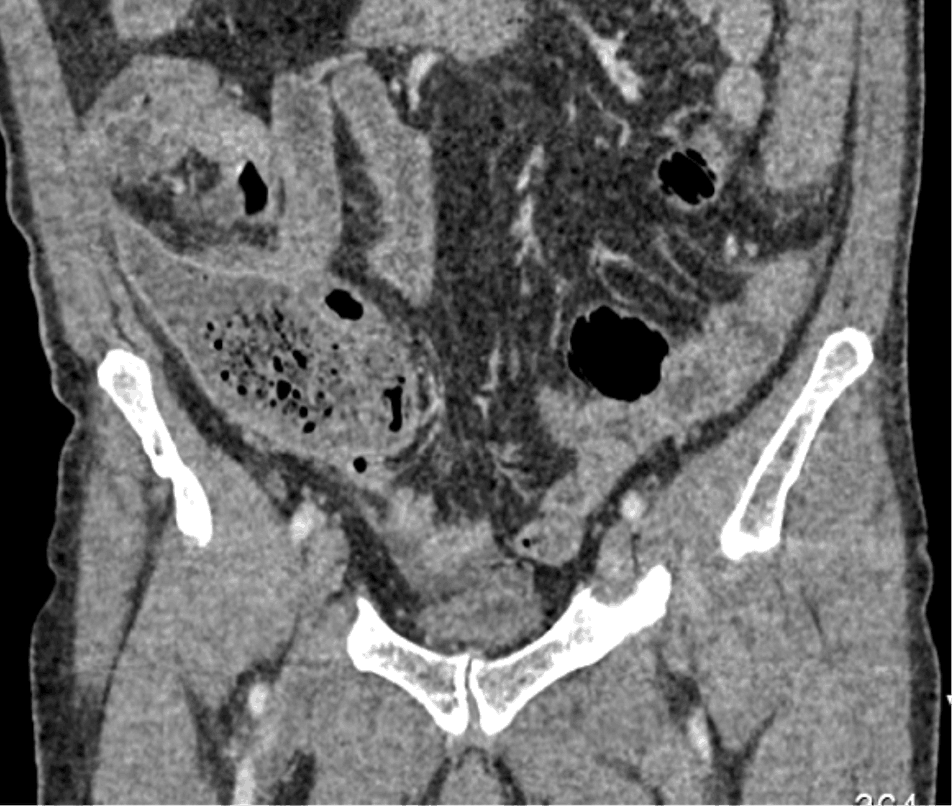
Компьютерная томография.
Позволяет достоверно выявить инородное тело в анатомически сложной области, оценить степень изменений в окружающих тканях, взаимоотношение инородного тела с прилежащими органами, а также выявить наличие возможных осложнений.



К проведению МРТ, прибегают в случае недостаточной информативности более доступных исследований.
В некоторых случаях инородные тела выявляются интраоперационно в ходе лапароскопии (лапаротомии) или торакоскопии (торакотомии).
Метод выбора для выявления госсипибомы - КТ. В раннем послеоперационном периоде госсипибома наиболее достоверно диагностируется при визуализации округлого образования с губчатой внутренней структурой, с множественными пузырьками газа в структуре. При в/в контрастировании визуализируется тонкое периферическое кольцо контрастного усиления, соответствующее гранулематозному воспалению вокруг инородного тела. В позднем послеоперационном периоде госсипибома может утратить губчатую структуру и КТ-картина может быть сходна с ограниченным скоплением жидкости или с абсцессом. В отдаленном послеоперационном периоде госсипибому следует дифференцировать с новообразованиями, при этом отмечается отсутствие достоверного накопления контрастного вещества как в центральной зоне, так и стенке госсипибомы. В позднем и отдалённом постоперационном периоде также возможна кальцификация стенок госсипибомы.

Осложнения
- инородные тела, располагающиеся вблизи крупных сосудов, могут вызывать деструкцию их стенок с формированием гематомы или аррозивного кровотечения;
- свободные внутрисуставные инородные тела могут приводить к нарушению подвижности в суставе и его блокаде;
- инородные тела, внедрившиеся в крупный кровеносный сосуд, влагалище сухожилия или серозные полости, могут мигрировать, вызывая тромбоз, окклюзию;
- инородные тела в мягких тканях могут вызвать формирование пролежня;
- некроз /перфорация полого органа, с последующей транспозицией инородного тела в просвет органа с развитием клиники кишечной непроходимости;
- абсцесс в зоне локализации инородного тела, перитонит, кишечные свищи, спаечная болезнь.
Лечение
Обнаруженное инородное тело как правило удаляют хирургическим, эндоскопическим путем.Объем операции зависит от осложнений. В одних случаях ограничиваются только удалением инородного тела, в других – требуется резекция окружающих органов.
Выводы.
Нахождение инородных тел в организме может приводить к описанным выше осложнениям. Кроме этого, интраоперационно (период с момента доставки больного в операционную и до выведения больного из наркоза) оставленные инородные тела влекут за собой судебно-медицинские последствия.

Профилактика таких осложнений полностью зависит от хирургической бригады, а именно:
- тщательная подготовка к операции, строгий подсчет израсходованных салфеток, тампонов и инструментария.
- использование интраоперационной рентгенографии на передвижных рентгеновских аппаратах в сомнительных случаях до закрытия операционной раны.
- целесообразно использование хирургического материала рентгеноконтрастными метками, что облегчает их обнаружение при лучевой диагностике.
Врач-рентгенолог(заведующий)
рентгеновского отделения Л.И. Бусько















